Atualidades

Dentista revela ERRO COMUM que muita gente comete e que faz seus dentes pareceram MAIS AMARELADOS

Cuidar dos dentes vai além de apenas escovar duas vezes ao dia. Um detalhe que muitos de nós deixamos passar despercebido é a condição da própria escova de dentes. E, surpreendentemente, esse descuido pode estar prejudicando o seu sorriso mais do que você imagina.

Pense nisso: aquela escova que você usa todos os dias, que já está com você há meses ou até anos, pode não estar fazendo o trabalho que deveria. Na verdade, uma escova de dentes desgastada pode ser mais prejudicial do que benéfica, acumulando bactérias e não limpando os dentes adequadamente.

Recentemente, uma higienista dental da Chelsea Dental Clinic usou o TikTok para falar sobre esse erro comum que muitos cometem sem perceber. Ela destacou a necessidade de trocar a cabeça da escova de dentes a cada três meses, independentemente de ser uma escova elétrica ou manual. Parece simples, mas esse é um passo essencial que muitos ignoram.

Leia tambémHomem que visitou TODOS os países REVELA o lugar MAIS ASSUSTADOR de todos em que já esteve

Mas como saber o momento certo para fazer essa substituição? Segundo a especialista, existe um teste visual fácil: se você olhar para a escova de trás e perceber que as cerdas estão abertas ou desalinhadas, é hora de trocá-la.

Isso porque, com o tempo, as cerdas desgastadas se tornam menos eficazes na remoção da placa, o que pode resultar em uma higiene bucal comprometida.

Estudos científicos confirmam que as escovas de dentes perdem sua eficácia após três meses de uso. Uma escova desgastada pode deixar bactérias nocivas nos dentes, aumentando o risco de cáries, mau hálito e doenças gengivais.

Portanto, não se trata apenas da frequência com que você escova os dentes, mas também da ferramenta que você está usando.

Outro ponto que merece atenção é a maneira como escovamos os dentes. Se sua escova se desgasta rapidamente, você pode estar aplicando muita pressão durante a escovação.

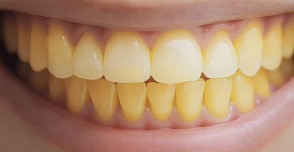
De acordo com a higienista, escovar os dentes com muita força pode desgastar o esmalte, tornando os dentes mais amarelos e vulneráveis a sensibilidade. Além disso, essa prática agressiva pode causar recessão gengival, expondo partes dos dentes que deveriam estar protegidas.

Contrariando a crença de que escovar os dentes com vigor é mais eficaz, especialistas explicam que esse exagero pode ter o efeito contrário. Além de revelar o amarelo dos dentes, o desgaste do esmalte pode aumentar a sensibilidade a temperaturas frias ou quentes, gerando desconforto ao consumir certos alimentos e bebidas.

A dica, então, é prestar atenção aos hábitos de escovação e à condição da sua escova de dentes. Marque no calendário um lembrete a cada três meses para avaliar se é hora de uma nova escova.

E, ao escovar, prefira movimentos suaves e circulares, em vez de esfregar com força. Essa mudança de abordagem não apenas protegerá seus dentes contra o desgaste, mas também preservará a saúde das suas gengivas.

@chelseadentalclinic How often should you really be changing your toothbrush? #toothbrush #changeyourtoothbrush #teethtok #dentalhygienist #learnontiktok #chelseadentalclinic #fyp #toothbrushing ♬ Funk It Up – John Etkin-Bell

Leia também7 comportamentos que você PRECISA PARAR de ter se quiser SER ADMIRADO pelo seu filho

Gabriel Pietro

Gabriel tem 24 anos, mora em Belo Horizonte e trabalha com redação desde 2017. De lá pra cá, já escreveu em blogs de astronomia, mídia positiva, direito, viagens, animais e até moda, com mais de 10 mil textos assinados até aqui.

Recent Posts

Bilionária misteriosa oferece US$ 80 milhões e exige algo que pode destruir um casamento na Netflix

Tem série que chama atenção pelo crime, pela investigação ou pelo susto. Dilema prende por…

19 horas ago

Nova série nº 1 do streaming com Nicole Kidman é uma aula de como fazer suspense investigativo que prende do início ao fim

Nicole Kidman voltou ao suspense em uma produção que aposta em crimes violentos, segredos antigos…

20 horas ago

Sofreu com atrasos e cancelamentos de voos? Entenda se você tem ou não direito à indenização

A notícia de que o Supremo Tribunal Federal (STF) suspendeu o andamento de milhares de…

2 dias ago

“Muito pior que Parkinson”: Robin Williams recebeu o diagnóstico errado e só foi descoberto durante sua autópsia

Por anos, Robin Williams foi visto pelo público como um artista de energia rara, daqueles…

2 dias ago

A xícara que você acha que vai encher primeiro revela se você é narcisista

Tem teste visual que parece brincadeira de internet, mas prende justamente porque mexe com uma…

2 dias ago

Um homem embarca tranquilo… até descobrir que o avião em que está é o mesmo que um podcast diz que vai desaparecer

Medo de avião já rende tensão por conta própria. Em The Twilight Zone, esse desconforto…

7 dias ago